

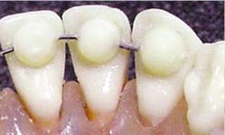
Simple Bonding Technique: Start by bonding a central first. Fill the cavity of the mold with resin without overfilling, causing flash. The wire slots are identified by little tags on the side of the mold. Hold the retainer wire in place on the tooth to be bonded and place the Mini-Mold over the wire engaging the slot in the mold. The wire slots hold the retainer wire in place during bonding. After bonding the first tooth, securing the retainer wire, repeat the procedure for each tooth to be bonded. Clean up any flash as needed in the interproximal.
©2012 Mini-Mold Technique. All rights reserved. US patent numbers 5,820,368 and 5,681,163